Why you might be seriously ill right now and what to do about it, according to top GP
The UK is being hit by a quartet of viruses crippling hospitals - with one top GP warning that people are facing more severe effects of the winter illnesses.
Players.bio is a large online platform sharing the best live coverage of your favourite sports: Football, Golf, Rugby, Cricket, F1, Boxing, NFL, NBA, plus the latest sports news, transfers & scores. Exclusive interviews, fresh photos and videos, breaking news. Stay tuned to know everything you wish about your favorite stars 24/7. Check our daily updates and make sure you don't miss anything about celebrities' lives.

The UK is being hit by a quartet of viruses crippling hospitals - with one top GP warning that people are facing more severe effects of the winter illnesses.
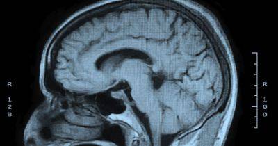
Inflammation in the brain can reawaken dormant viruses, which may lead to the onset of neurodegenerative disease, a new study finds.
Repeated head injuries, such as concussions - a known risk factor for Alzheimer’s disease (AD) - may reactivate a common dormant virus in the brain, increasing the risk of AD and other neurodegenerative conditions.
Borussia Dortmund defenders Waldemar Anton and Almugera Kabar are doubtful for Friday's Bundesliga game against Bayer Leverkusen due to illness, coach Nuri Sahin said.
The World Health Organization (WHO) said on Tuesday that the risk of avian flu to the general population remains “low”.
Novak Djokovic says he still experiences “trauma” when he visits Melbourne, three years after he was deported because of Australia’s Covid-19 regulations. Djokovic, who was not vaccinated against the virus, had his visa cancelled by the Australian government on “health and good order” grounds. He was forced to stay at an immigration hotel for five days while he unsuccessfully appealed against the decision and was eventually forced to leave the country, meaning he missed the 2022 Australian Open. Djokovic returned to Melbourne the following year, with Covid restrictions eased, and went on to win the Grand Slam for a record 10th time. The Serb, 37, is back in Australia preparing for the 2025 tournament, which begins on Sunday. “The last couple of times I landed in Australia, to go through passport control and immigration – I had a bit of trauma from three years ago,” Djokovic told Melbourne’s Herald Sun., external.
Patients visiting Portuguese hospitals with urgent cases are having to wait more than nine hours in some cities until they can be admitted into hospitals.